Advancing Generalizability and Fairness in Breast MRI Tumour Segmentation and Treatment Response Prediction
Days to last Submission
The MAMA-MIA Challenge bridges this gap by introducing a dual-task framework to advance AI-driven solutions for:
1) Primary Tumour Segmentation in DCE-MRI
2) Prediction of Pathologic Complete Response (pCR) to Neoadjuvant Chemotherapy (NAC)
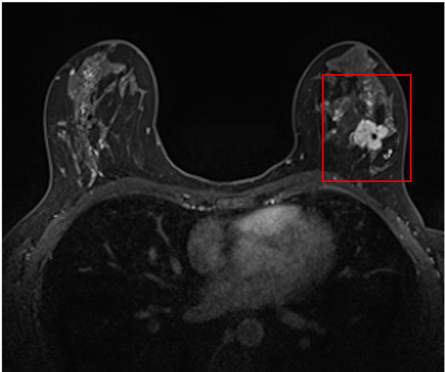
Participants will use the largest homogenized DCE-MRI dataset to date, featuring 1,506 annotated scans and key clinical variables, and validate their models across 574 external cases from diverse imaging protocols and settings. The challenge emphasizes generalizability and fairness, ensuring equitable model performance across demographic subgroups, and aims to optimize breast cancer treatment and surgical planning.
Join us to push the boundaries of personalized and ethical AI in breast cancer care.


Available
TRAINING DATASET RELEASE
April 16, 2025
Sanity check phase
MAY 15, 2025
Validation phase
June 25, 2025
Deep-breath workshop paper submission
July 15, 2025
TEST PHASE START
July 31, 2025
last submission
September 23-27, 2025
miccai 2025
September 23
Deep-Breath Workshop
winners announcement
Organizers

Lidia Garrucho
PhD StudentUniversitat de Barcelona, Spain

Smriti Joshi
PhD StudentUniversitat de Barcelona, Spain

Kaisar Kushibar
Assistant ProfessorUniversitat de Barcelona, Spain

Maciej Bobowicz
Expert Clinician, MDMedical University of Gdansk, Poland

Xavier Bargalló
Expert Clinician, MDHospital Clinic, Spain

Paulius Jaruševičius
Expert Clinician, MDKauno Hospital, Lithuania

Karim Lekadir
BCN-AIM Director & ICREA Research ProfessorUniversitat de Barcelona, Spain
Technical Committee
- Tianyu Zhang (Radboud University Medical Centre, and Netherlands Cancer Institute (NKI))
- Claire-Anne Reidel (Post-doc, Darmstadt, Deutschland)
- Carlos Martín-Isla (Universitat de Barcelona, Spain)
- Richard Osuala (Universitat de Barcelona, Spain)
- Vien Ngoc Dang (Universitat de Barcelona, Spain)
- Dimitri Kessler (Universitat de Barcelona, Spain)
- Laura Igual (Universitat de Barcelona, Spain)
- Oliver Díaz (Universitat de Barcelona, Spain)
- Apostolia Tsirikoglou (Karolinska Institutet, Sweden)
- Fredrik Strand (Karolinska Institutet, Sweden)
Clinical Committee
- Javier del Riego (Parc Taulí Hospital Universitari, Spain)
- Alessandro Catanese (Hospital Germans Trias i Pujol, Spain)
- Juozas Kupčinskas (KAUNO Hospital, Lithuania)
- Katarzyna Gwoździewicz (Medical University of Gdansk, Poland)
- Maria-Laura Cosaka (Centro Mamario Instituto Alexander Fleming, Argentina)
- Pasant M. Abo-Elhoda (Ain Shams University, Egypt)
- Sara W. Tantawy (Ain Shams University, Egypt)
- Shorouq S. Sakrana (Ain Shams University, Egypt)
- Norhan O. Shawky-Abdelfatah (Ain Shams University, Egypt)
- Amr Muhammad Abdo-Salem (Ain Shams University, Egypt)
- Androniki Kozana (University Hospital of Heraklion, Greece)
- Eugen Divjak (University Hospital Dubrava, Croatia)
- Gordana Ivanac (University Hospital Dubrava, Croatia)
- Katerina Nikiforaki (Foundation for Research and Technology-Hellas, Greece)
- Michail E. Klontzas (University of Crete, Greece)
- Rosa García-Dosdá (Universitary and Politechnic Hospital La Fe, Spain)
- Meltem Gulsun-Akpinar (Faculty of Medicine Sihhiye, Turkey)
- Oğuz Lafcı (Medical University of Vienna, Austria)
- Ritse Mann (Radboud University Medical Center, The Netherlands)












